Phòng CTXH 3299 lượt xem
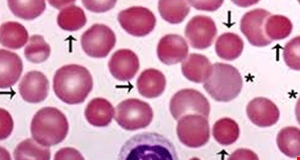
Máu là chất lỏng đặc biệt cung cấp dinh dưỡng và oxy tới nhiều cơ quan, cơ và mô của cơ thể. Nó cũng vận chuyển các chất thải và carbon dioxid ra khỏi cơ thể. Máu được tạo thành từ các tế bào máu và huyết tương. Có 3 loại tế bào máu: hồng cầu, bạch cầu và tiểu cầu
Xem thêm